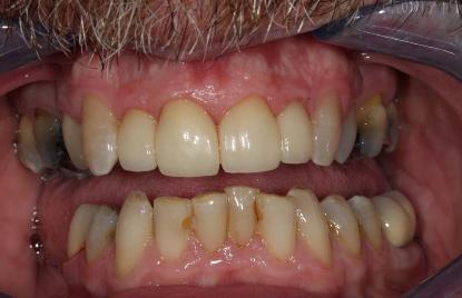
This is a classic case where patient did not seek treatment for many years. We were able to
restore his natural smile by placing all
ceramic crown and veneers. No root canal therapy
was necessary!
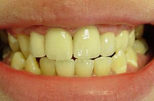
Patient was in her mid 50's and did not have orthodontic treatment nor any  root canals. We
corrected her esthetic with
no-prep veneers* and 3M Lava Crowns.

* no-prep veneers are gaining it's popularity, no shots, no drilling, no pain!
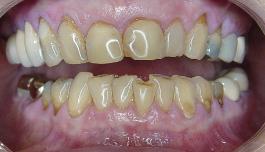
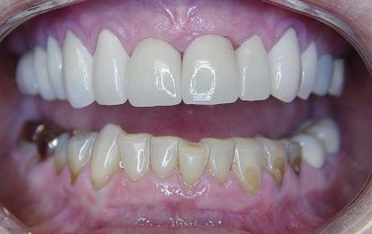
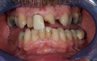
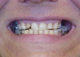
This was present with very discolored and damaged teeth. We were able to achieve this result by placing Zirconia Crowns
and
Conventional Veneers. Lower dentitions were simply treated with some occlusal calibration and in-office teeth
whitening Zoom**
. Patient was so satisfied with the result, decided not to have any more work done on her lower teeth.

** Zoom is one of many teeth whitening procedures we offer at our office.
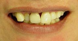
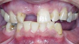
This patient came to our office with fracture tooth #7. She accidentally bit down on a nut shell. We were able to repair in
less than an hour with direct bonding technique.
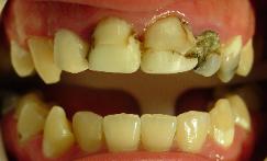
This young female patient did not look comfortable with her smile. As you can see this patient has facial bonny defect
on #8 area with uneven gingival contour. Recommended treatment plan was to place
implants on #8, 19, 20, 21, 28,
anterior veneers with gingival contours. However, due to the financial reasons patient opted to have anterior Zirconia
Bridge
on #7-X-9 and veneers on #10 & 11 only without the gingival contour and implants. As you can see her smile
still looks very natural.

* Zirconia Crown/Bridge does not have any metal substructures, therefore over the years no worries of exposed metal!
   220 Route 17 Tuxedo, NY 10987                         (845) 351-5158
all your dental needs from alpha to omega
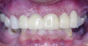
This patient had an accident that destroyed his front teeth. Since we had to repair his teeth, we did a very simple smile
make-over. In this case, teeth #7,8,9,10 were restored with
e.Max Crowns w/ gingival contour.
The very first thing patient said,"
this is the BEST look I EVER had!"  

***Gingival contours are normally pain-less!  You could have this done by conventional way or
Laser. Your choice!
Call us for an appointment : (845)351-5158